- 美容整形ブログ
- 目の下脱脂(切らない目の下くま取り)の記事一覧
- 目の下のくまを取りたい 3
2015.05.09
目の下のくまを取りたい 3
今回は切らない目の下のくま取りについてご説明いたします。
前回のくま取りの解説では、色素沈着も混在した脂肪による膨らみの影くまがある男性の
症例についてご説明しましたが、今回は女性の色素によるくまを含まない、
脂肪による膨らみだけの症例をご紹介します。
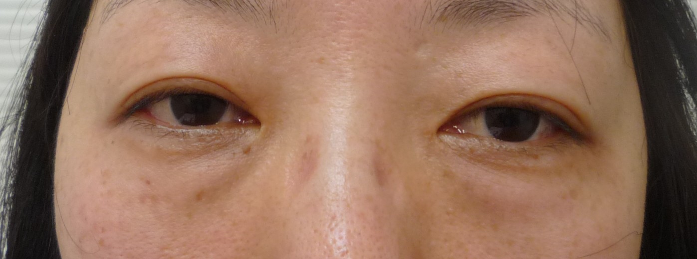
30代女性の切らない目の下のくま取りの術前と術後1ヶ月目の写真です。
色素によるクマが無いため、ほぼ真っ平らになり、膨らみが改善しました。
もちろん窪んでもいません。
斜めから見ると、改善度がよくお分かり頂けると思います。
よく、脂肪の取り過ぎによる窪みを防ぐため、術後さらに脂肪を注入する病院を見かけますが、
当院では脂肪を取るだけで充分改善するので、または取り過ぎにより窪むこともないので、
術後の脂肪注入やヒアルロン酸注入は行っておりません。
局所麻酔で行い、約20分で終了します。通院も必要ありません。
したがって、北は北海道、南は沖縄からも遠路はるばるお越しいただく方が増えてまいりました。
手術を受けられた方には、私の携帯電話の番号をお知らせしますので、術後心配な事がある時、
直接私と連絡可能なので、遠方からお越しの患者さんにも安心だと思います。
目の下のくま取りは、傷跡も残らずリスクもほとんど無い手術なので、どなたにもお勧めの手術です。
横浜美容クリニック(美容外科) 横浜美容クリニック(美容皮膚科)
- 美容整形ブログ
- 目の下脱脂(切らない目の下くま取り)の記事一覧
- 目の下のくまを取りたい 3



.jpg)
.jpg)
.jpg)
.jpg)




